Diabetic Retinopathy Treatment in Andheri, Mumbai
Doctor Eye Institute is among the most trusted eye specialists, offering the best diabetic retinopathy treatment in Andheri, Mumbai using advanced methods. If you have diabetes, it’s crucial to prioritize your eye health, as failing vision could indicate damage to vital organs. Doctor Eye Institute provides the latest and most effective treatment for diabetic retinopathy , making it the preferred choice for addressing this condition.
Diabetic retinopathy is the leading cause of blindness in young and middle-aged adults. The longer you have diabetes, the higher your risk of developing this condition. While diabetes can also lead to cataracts and glaucoma, its impact on the retina poses the most significant threat to vision. Most patients experience diabetic changes in the retina within 5-20 years of having diabetes.
How is Diabetic Retinopathy Diagnosed?
Diabetic Retinopathy is diagnosed by :
Indirect Ophthalmology: Dilated retinal examination: dilating the pupil and looking inside the eye with an ophthalmoscope. If an ophthalmologist discovers diabetic retinopathy, he or she may wish to order color photographs of the retina through a test called fluorescein angiography.
FUNDUS FLUORESCEIN ANGIOGRAPHY (FFA): During this test, a dye is injected into the arm and quickly travels throughout the blood system. Once the dye reaches the blood vessels of the retina, a photograph is taken of the eye. The dye allows the ophthalmologist to detect damaged blood vessels that are leaking dye.
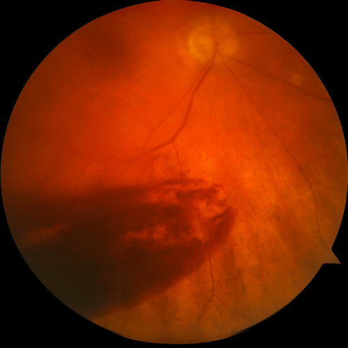
Retinal Colour photography (with Imagenet)
Optical coherence tomography O.C.T Macula: For High-resolution cross-sectional images of eye/retina
B Scan : To Detect Retinal Detachment and Vitreous hemorrhage
What methods are used to diagnose
Diabetic Retinopathy?

Slit Lamp
Examines the anterior segment of the eye, including the cornea, iris, and lens.

OCT Scan
Provides detailed cross-sectional images of the retina and optic nerve.

EDION
High-resolution images help in the early detection of glaucoma.
Treatments Options
Doctor Eye Institute is fully equipped with the latest technology and highly qualified experienced vitreo retinal specialists for the diagnosis and treatment of all retinal ailments.
There are two types of Diabetic Retinopathy:
- Non-proliferative diabetic retinopathy (NPDR)
NPDR, also known as background retinopathy, is an early stage of diabetic retinopathy and occurs when the tiny blood vessels of the retina are damaged and begin to bleed or leak fluid into the retina resulting in swelling (diabetic macular edema) and the formation of deposits known as exudates. Many people with diabetes develop mild NPDR often without any visual symptoms.
- Proliferative diabetic retinopathy (PDR)
PDR carries the greatest risk of loss of vision and typically develops in eyes with advanced NPDR. PDR occurs when blood vessels on the retina or optic nerve become blocked consequently starving the retina of necessary nutrients. . New, fragile, vessels develop as the circulatory system attempts to maintain adequate oxygen levels within the retina. This is called neovascularization. Unfortunately, these delicate vessels hemorrhage easily. Blood may leak into the retina and vitreous, causing spots or floaters, along with decreased vision.
PDR may lead to any one of the following:

Vitreous hemorrhage
Proliferating retinal blood vessels grow into the vitreous cavity and break down. Both the hemorrhaging and resultant scar tissue may interfere with vision.

Traditional retinal detachment
Scar tissue in the vitreous and on the retina cause the retina to detach.

Tractional and rhegmatogenous retinal detachment
Scar tissue creates a hole or tear in the retina causing it to detach.

Neovascular glaucoma
Abnormal blood vessel growth on the iris blocks the flow of fluid out of the eye causing the pressure to increase and damage the optic nerve.
What are the symptoms of Diabetic Retinopathy?
Generally, people with mild NPDR do not have any visual loss. A dilated eye exam is the only way to detect changes inside the eye before loss of vision begins. People with diabetes should have an eye examination at least once a year. More frequent exams may be necessary after diabetic retinopathy is diagnosed.
People with PDR experience a broader range of symptoms. They may:
- See dark floaters
- Experience loss of central or peripheral vision
- Experience visual distortions or blurriness
- Experience temporary or permanent vision loss
Current Treatments for diabetic retinopathy?
Diabetic Retinopathy Treatment in Mumbai:
Diabetic retinopathy is treated in many ways depending on the stage of the disease and the specific problem that requires attention. The retinal surgeon relies on several tests to monitor the progression of the disease and to make decisions on the appropriate treatment. These include fluorescein angiography, retinal photography, and ultrasound imaging of the eye. If you need diabetic retinopathy treatment, you must consult a diabetic retinopathy specialist in mumbai at Doctor Eye Institute.
Patients with diabetes are at greater risk of developing retinal tears and detachment. Tears are often sealed with laser surgery. Retinal detachment requires surgical treatment to reattach the retina to the back of the eye. The prognosis for visual recovery is dependent on the severity of the detachment.
Vitrectomy is commonly needed for diabetic patients who suffer a vitreous hemorrhage (bleeding in the gel-like substance that fills the center of the eye). During a vitrectomy, the retina surgeon carefully removes blood and vitreous from the eye, and replaces it with clear salt solution (saline). At the same time, the surgeon may also gently cut strands of vitreous attached to the retina that create traction and could lead to retinal detachment or tears.
Advised to patients for conditions like Rent, / Vitreous Hemorrhage / Proliferative Diabetic Retinopathy / Retinal Detachment etc.
Can diabetic retinopathy be prevented?
The most effective overall strategy for diabetic retinopathy is to prevent it as much as possible. Researchers have found that diabetic patients who are able to maintain appropriate blood sugar levels have fewer eye problems than those with poor control. Diet and exercise play important roles in the overall health of those with diabetes.
Diabetics can also greatly reduce the possibilities of eye complications by scheduling routine examinations with an Ophthalmologist. Many problems can be treated with much greater success when caught early.
If you have Diabetes make sure that you get a Dilated Retinal Examination at least once a year to prevent Vision Loss.
Early detection of Diabetic Retinopathy is the best protection against Loss of Vision Better control of blood sugar levels slows the progressive of the disease and lowers the risk of vision loss.
- If you have diabetes, or a family history of diabetes, you need to pay special attention to your EYES before it is too late.
- Failing vision could be the first sign of damage being caused to your vital organs due to high sugar levels.
- There are no signs or symptoms in early stages
- It starts with burred vision causing problems while reading or driving.
- Gradually as the blood vessels leak , it feels like black spekcs or patch floating in the eye which may or may not go away.
EIDON Fundus Camera for Retinal Imaging
The EDION Fundus Camera is a state-of-the-art device designed for detailed imaging of the optic nerve and retina. This advanced technology offers several key features that enhance the accuracy and ease of eye examinations.
Benefits of Eidon imaging
The EDION Fundus Camera is a valuable tool in the fight against glaucoma and retina disorders, providing several benefits:
- Early Detection: High-resolution images help in the early detection of glaucoma, even before significant vision loss occurs. Imaging the retina helps in early detection of minor holes/ tears in the corners of the retina which can be sight saving
- Monitoring Progression: The detailed and repeatable imaging allows for accurate tracking of disease progression over time, enabling timely interventions.
- Comprehensive Assessment: The combination of 3D optic disc imaging and wide-field retinal views offers a holistic assessment of the eye, crucial for comprehensive eye care.
Answers to all your diabetic retinopathy related queries- just a click away or subscribe to our YouTube channel
Are you looking for the best diabetic retinopathy specialist in mumbai?
Doctor Eye Institute
Contact Doctor Eye Institute Today
We are committed to deliver top-notch care to our patients, and we value your feedback as it plays a crucial role in enhancing our services and ensuring continuous improvement.


